Photo Gallery

EXQUISITE EYELASH

Eyelash Hair Transplantation
- For -
Full, Natural & Permanent Eyelashes

black lash

Pre-Op





Post-Operative Day 1





Post-Operative Week 1






Post-Operative Week 2





Post-Operative Month 1





Post-Operative Month 6





EXQUISITE EYEBROW

Eyebrow Hair Transplantation 
 - for -
 Full, Natural & Permanent Eyebrows

eyebrow icon


Pre-Op

Procedure


Post-Op

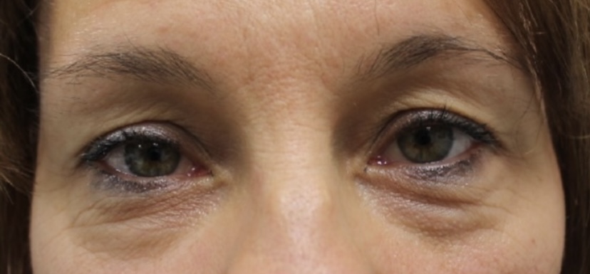
Before

eyes

After

eyes

Before

eyes

After

eyes

Before

eyes

After

eyes

Procedure

Plasma pen

eyes

Before

eyes

After

eyes

Before

eyes

After